Skip to content
McGill Centre for Integrative Neuroscience
McGill Centre for Integrative Neuroscience
A Member Of
Menu
Home
About MCIN
Alan Evans
MCIN Team
Research
BigBrain
Neurodevelopment
Normal Develpment
Neurodevelopmental Psychopathology (Autism)
Neurodegeneration
Diagnostic Biomarkers
Modeling Disease Progression
Neuroimaging Methods
Brain Canada Prisma Protocol
Brain Canada Prisma Protocol Sequence Descriptions
Sampling & Statistics
Atlases
Brain Connectivity
Morphometric Analysis
Cyberinfrastructure
Publications
Posters
Technology
LORIS
CBrain
CIVET
MINC
Visualization
Display
Atelier3D
BrainBrowser
BrainWeb
Projects
BigBrain
ccc-axis
CONP
EEGNet
Global Brain Consortium
NeuroHub
News
Media
Contact Us
Careers
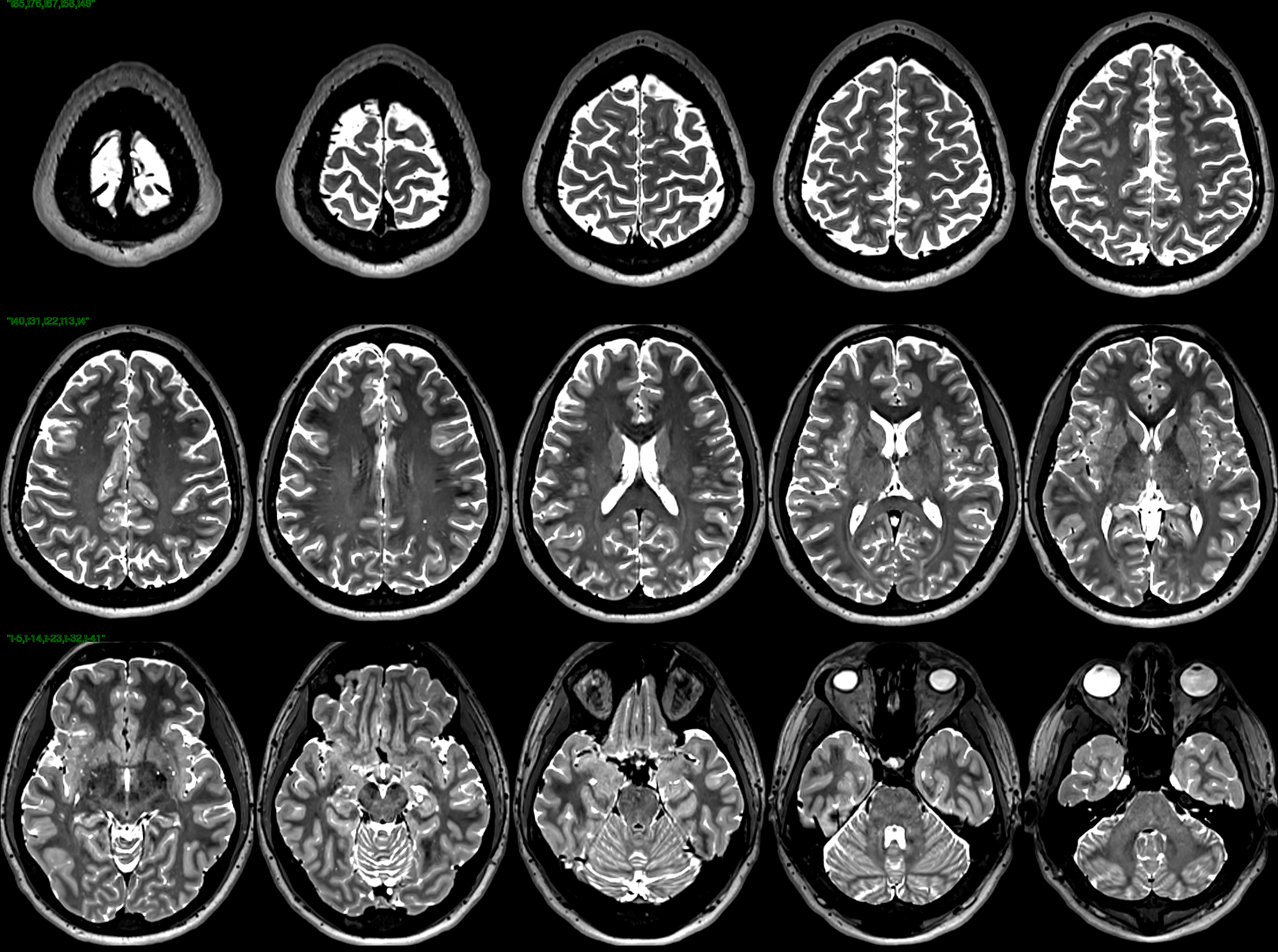
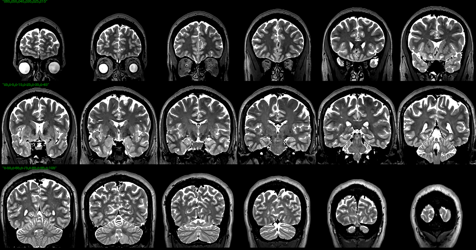
T2 images